01
Jul
Reading time - 8 mins
Research by the University of Nottingham has discovered that drinking one cup of coffee can help fight obesity. The study found that after drinking coffee, there was stimulation of brown fat, which may lead to weight loss.
Perfect, now I can drink my coffee guilt-free and lose a few kilos! I will go into more detail about the research and how we can benefit from it!
Brown fat is mainly found in babies, as this type of fat helps to keep their bodies warm. Because babies can’t shiver or warm themselves up, brown fat is present in their tiny bodies to help maintain optimum body temperature. As we age, brown fat slowly disappears as the adult body becomes self-sufficient in maintaining warmth.
Brown fat can burn calories because it heats the body temperature, and scientists are looking for ways to exploit this ability to maybe fight obesity. Basically, brown fat is the good fat you want in your body, while white fat is the one you need to avoid. Let me explain…
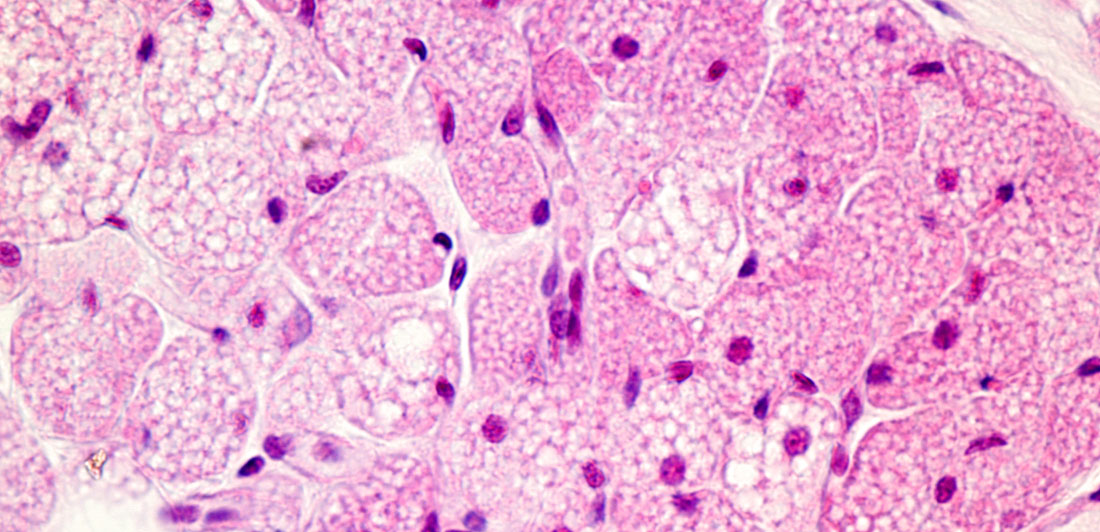
Brown fat is composed of many tiny lipid (fat) droplets as well as many iron-containing mitochondria. It’s usually found in the front and back of the neck and the upper back. The primary purpose is to burn calories, and generating brown fat is a little more complex than white fat.

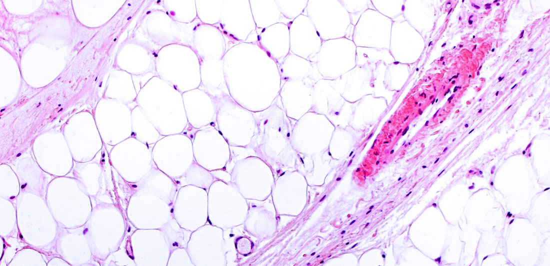
White fat is composed of a single lipid droplet and has far fewer mitochondria than brown fat. White fat provides the most amount of energy reserve in the body and serves as a thermal insulator and cushion for internal organs. We generate it by consuming too many calories and only using a few calories.

In a very short form, the research was conducted on 9 people (5 men and 4 women), all of the same age and BMI. Thermal images were taken before the consumption of coffee and after. The images showed an increase in body temperature, where brown fat was found (supraclavicular region) after coffee was consumed.
With that in mind, the researchers found that when coffee was consumed, the brown fat in the front of the neck was stimulated. This leads them to believe that caffeine can potentially promote brown adipose tissue, which can maybe help obese adult humans.
Ok, the research has revealed that drinking one cup of coffee can help to improve brown fat activation in doing that the body will burn more fat, which is very beneficial for all of us. Brown fat is the fat that you definitely want in the body so that it can help with weight loss.
Another aspect of your regular cup of coffee is that it contains caffeine, which we know that caffeine aids with weight loss. Caffeine is a well-known compound in the fitness industry as it helps to boost metabolic rate, energy and also increase fat burning.
Ok, generating brown fat can be a bit hard at times. To do it, you need to exercise. This is because exercising converts white fat to more metabolically active brown fat. Alternatively, you can regularly expose your body to really cold temperatures, as lowering the body temperature helps the production of brown fat. Basically, when the body is cold, brown fat acts as an “internal blanket” to keep the blood warm.
And by far the best one... Drink coffee.
As we get older brown fat decreases significantly, and because brown fat is the good fat to have in your body, you definitely want this fat sticking around. Brown fat is hard to find and study, and there’s still plenty more to come out of this research. So, stay tuned, and in the meantime, Drink Some Coffee!
Ksenija Velickovic, Declan Wayne, Hilda Anaid Lugo Leija, Ian Bloor, David E. Morris, James Law, Helen Budge, Harold Sacks, Michael E. Symonds, Virginie Sottile. Caffeine exposure induces browning features in adipose tissue in vitro and in vivo. Scientific Reports, 2019; 9 (1)
University of Nottingham. "Could coffee be the secret to fighting obesity?" ScienceDaily.
Fighting Obesity with a Single Cup of Coffee, Medical News Today by Ana Sandoiu – June 25th, 2019 https://www.medicalnewstoday.com/articles/325554.php
What Is Brown Fat? 5 Fascinating Facts, Live Science by Anna Harding - January 30th, 2015 https://www.livescience.com/49652-what-is-brown-fat-facts.html
What’s the Difference Between White Fat and Brown Fat? Women’s Health Magazine by Pam Peeke MD MPH FACP – April 24 2014 https://www.womenshealthmag.com/health/a19896462/fat-facts/
What is Brown Fat? 8 Key Facts to Boost Your Metabolism by George L. King, MD, from the book The Diabetes Reset https://www.rd.com/health/diet-weight-loss/brown-fat-boost-metabolism/
More Fit Talk